CRISPR mở đường cho nông nghiệp Việt Nam
Việc ứng dụng công nghệ chỉnh sửa hệ gen hiện đại để đồng thời tăng hàm lượng sắt, kẽm và giảm tích lũy cadmium trong hạt lúa đang mở ra hướng tiếp cận mới đầy triển vọng cho ngành lúa gạo Việt Nam.

Đề tài “Nghiên cứu cải tiến giống lúa về vi chất dinh dưỡng bằng công nghệ sinh học” do TS. Lê Quỳnh Mai làm chủ nhiệm, Trường Đại học Khoa học Tự nhiên (Đại học Quốc gia Hà Nội) là cơ quan chủ trì, đã đạt được những kết quả quan trọng giúp cải thiện hàm lượng vi chất trong gạo và giảm thiểu nguy cơ tích lũy kim loại nặng gây hại sức khỏe.
Xuất phát từ bài toán thiếu vi chất trong khẩu phần ăn và sự gia tăng cảnh báo về nhiễm cadmium trong sản phẩm nông nghiệp, nhóm nghiên cứu đã lựa chọn hướng tiếp cận tiên tiến bằng công nghệ chỉnh sửa hệ gen CRISPR/Cas9, nhằm đồng thời tăng tích lũy sắt và kẽm trong hạt, giảm hấp thu cadmium mà không làm ảnh hưởng đến sinh trưởng của cây. Mục tiêu của đề tài là thiết kế cấu trúc chỉnh sửa gen, thiết lập quy trình tái sinh và tạo được những dòng lúa mang đặc tính cải tiến, với hàm lượng Fe, Zn tăng và Cd giảm tối thiểu 10% so với giống gốc.
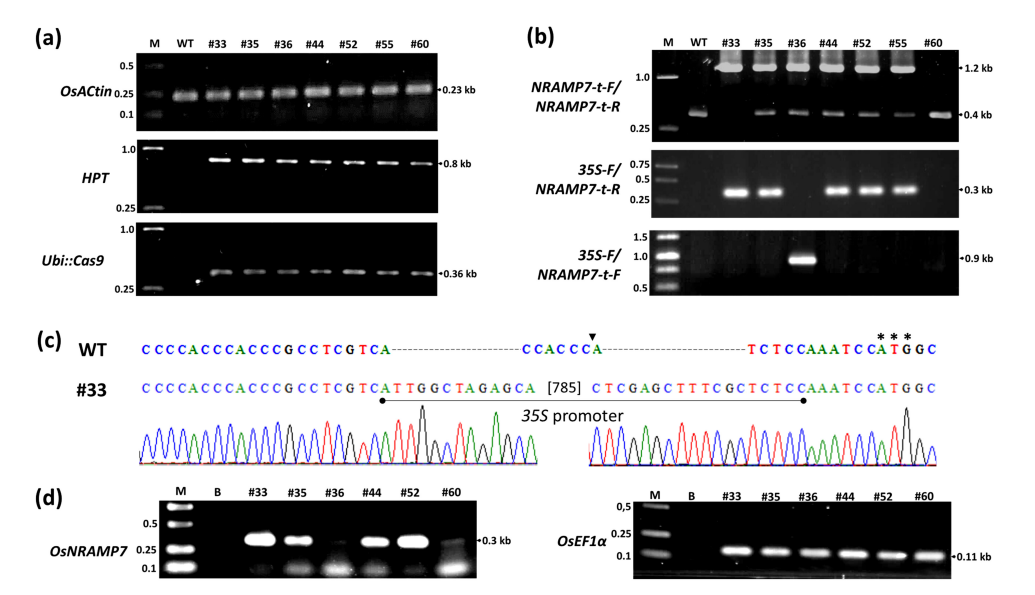
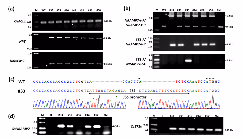
Trong quá trình triển khai, nhóm nghiên cứu đã thiết kế và kiểm chứng thành công 4 cấu trúc CRISPR/Cas9 hướng đích vào các gen vận chuyển kim loại OsNRAMP2, OsNRAMP5, OsNRAMP7 cũng như vectơ pCRISPRa nhằm điều hòa biểu hiện OsYSL2 - những gen đóng vai trò quan trọng trong quá trình vận chuyển và tích lũy Fe, Zn và Cd ở lúa. Quy trình chỉnh sửa hệ gen và tái sinh thực vật được xây dựng đạt các chỉ tiêu về hiệu suất chuyển gen và hiệu quả đột biến, cho phép áp dụng trên giống mục tiêu có khả năng tái sinh cao. Từ nền tảng kỹ thuật này, nhóm đã tạo được bốn dòng lúa chỉnh sửa gen gồm R7-33.47, R5-01.59, R5-04.28 và R5-22.21; các phân tích độc lập tại Viện Khoa học Kỹ thuật Nông lâm nghiệp miền núi phía Bắc xác nhận hàm lượng Fe và Zn trong hạt tăng tối thiểu 10% và hàm lượng Cd giảm tối thiểu 10% so với giống gốc.
Bên cạnh việc tạo thành công các dòng lúa triển vọng, nhóm nghiên cứu còn hoàn thành bộ sản phẩm khoa học và công nghệ toàn diện, gồm: Báo cáo đánh giá về hàm lượng Fe, Zn và Cd của một số giống lúa phổ biến ở Việt Nam; Quy trình chỉnh sửa hệ gen liên quan đến vi chất dinh dưỡng ở lúa. Cụ thể, quy trình đạt hiệu suất tái sinh >10% (tính trên tổng số mô sẹo), hiệu suất chuyển gen > 20% (tính trên tổng số cây tái sinh) và hiệu suất chỉnh sửa gen đích >10 % (tính trên tổng số cây mang gen chuyển).

Nhóm nghiên cứu đã công bố 5 bài báo quốc tế, trong đó có bài đăng trên Plant Science, 4 bài báo trong nước; đồng thời xây dựng hệ thống dữ liệu phân tích về thành phần khoáng, biểu hiện gen và thiết kế cấu trúc plasmid phục vụ nghiên cứu tiếp theo. Nhiệm vụ cũng hoàn thành mục tiêu đào tạo với 3 học viên thạc sĩ được hướng dẫn và bảo vệ thành công, góp phần bổ sung nguồn nhân lực chất lượng cao cho lĩnh vực công nghệ sinh học ứng dụng trong nông nghiệp.
Về tác động thực tiễn, các dòng lúa tăng Fe, Zn và giảm Cd hứa hẹn mang lại lợi ích lớn cho an ninh dinh dưỡng quốc gia vì gạo là nguồn cung cấp năng lượng chính của đa số hộ gia đình Việt Nam. Việc giảm tích lũy cadmium trong hạt góp phần tăng cường an toàn thực phẩm, giảm rủi ro phơi nhiễm lâu dài qua khẩu phần ăn.
Ở góc độ kinh tế và thị trường, những giống lúa cải tiến dinh dưỡng sẽ giúp nâng vị thế gạo Việt Nam, đáp ứng các tiêu chuẩn chất lượng khắt khe của thị trường xuất khẩu và phù hợp định hướng phát triển nông nghiệp giá trị cao. Nhóm nghiên cứu cũng xác định hướng đi tiếp theo là khảo nghiệm đa địa điểm, đánh giá sinh trưởng – năng suất, thẩm định an toàn sinh học và chuyển giao vật liệu phục vụ công tác chọn tạo giống tại các viện, trường và doanh nghiệp giống cây trồng.
Thành công của đề tài cho thấy tiềm năng lớn của công nghệ chỉnh sửa hệ gen trong nông nghiệp Việt Nam, tạo cơ sở khoa học vững chắc để phát triển các giống lúa tăng cường vi chất, an toàn hơn và có giá trị cao hơn. Trong bối cảnh nhu cầu dinh dưỡng và yêu cầu chất lượng gạo ngày càng tăng, những thành quả này không chỉ mang ý nghĩa nghiên cứu mà còn mở ra triển vọng ứng dụng rộng rãi, góp phần xây dựng nền nông nghiệp hiện đại, bền vững và dựa trên tri thức.