Cúm mùa diễn biến nguy kịch trên bệnh nhân suy giảm miễn dịch
Khoa Cấp cứu – Bệnh viện Bệnh Nhiệt đới Trung ương vừa tiếp nhận một trường hợp cúm mùa diễn biến đặc biệt nhanh và nặng ở bệnh nhân nữ T.T.H 35 tuổi (Phú Thọ) có nền bệnh phức tạp. Người bệnh có suy thận mạn do lupus, đã ghép thận được 13 tháng và phải dùng thuốc chống thải ghép cùng thuốc điều trị lupus suốt hơn 15 năm.

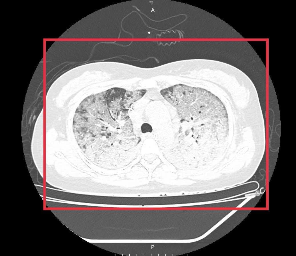
Khoảng ba ngày trước nhập viện, bệnh nhân xuất hiện sốt, ho và khó thở tăng dần. Dù đã được phát hiện sớm, điều trị bước đầu tại cơ sở y tế tuyến trước và test nhanh cúm dương tính, tình trạng suy hô hấp vẫn tiến triển nhanh. Khi chuyển tới Bệnh viện Bệnh Nhiệt đới Trung ương, bệnh nhân ở trong tình trạng thở nhanh 30 lần/phút, co kéo cơ hô hấp nhiều, SpO₂ tụt xuống chỉ còn 85% và cần được hỗ trợ thở máy lưu lượng dòng cao ngay lập tức. Tuy nhiên, diễn biến cúm xấu lên nhanh đến mức có thời điểm dù cài 100% oxy, SpO₂ vẫn chỉ đạt 80–85%. Hình ảnh phim phổi cho thấy tổn thương lan tỏa kín hai bên phổi, hình ảnh kính mờ điển hình của cúm tiến triển, nhanh chóng chuyển sang hội chứng suy hô hấp cấp (ARDS) – biến chứng nặng thường gặp ở nhóm bệnh nhân suy giảm miễn dịch.
BS Trương Tư Thế Bảo – Khoa Cấp cứu cho biết: với những bệnh nhân phải dùng thuốc ức chế miễn dịch kéo dài như trường hợp này, cơ thể gần như không còn khả năng tự chống đỡ. Bất kỳ nhiễm trùng hô hấp nào cũng có thể diễn tiến nặng trong thời gian rất ngắn, gây suy hô hấp và ảnh hưởng đa cơ quan.
Trước mức độ tổn thương phổi lan tỏa và suy hô hấp tiến triển nhanh, các bác sĩ nhận định bệnh nhân H có tiên lượng rất xấu, nguy cơ khó qua khỏi dù đã được điều trị tích cực.
Từ trường hợp này, BS Bảo nhấn mạnh: Cúm mùa hoàn toàn có thể trở thành bệnh lý nguy hiểm, đặc biệt ở những người có bệnh nền như lupus, người ghép tạng, bệnh phổi mạn, tim mạch, đái tháo đường hoặc bất kỳ tình trạng nào khiến miễn dịch suy giảm. Diễn tiến nặng có thể xảy ra trong 24–72 giờ, việc tự điều trị tại nhà hoặc chậm trễ đi khám có thể khiến người bệnh rơi vào nguy kịch rất nhanh. Khi xuất hiện sốt cao, ho nhiều, mệt tăng, thở nhanh hoặc khó thở, người bệnh cần được thăm khám ngay tại những cơ sở có chuyên khoa hô hấp và bệnh truyền nhiễm để can thiệp kịp thời. Đặc biệt, với những người có bệnh nền hoặc suy giảm miễn dịch, cúm mùa không phải là bệnh lý nhẹ. Việc tiêm vắc xin cúm hằng năm không còn đơn thuần là một khuyến cáo chung mà là biện pháp phòng bệnh cần được ưu tiên hàng đầu, giúp giảm rõ rệt nguy cơ diễn tiến nặng, suy hô hấp và tử vong.
Theo BSCKII Nguyễn Nguyên Huyền - Giám đốc Trung tâm phòng chống dịch, với các bệnh lý hô hấp dễ gây biến chứng như cúm mùa hoặc viêm phổi do phế cầu, tiêm phòng có thể giảm rõ rệt nguy cơ nhập viện, giảm mức độ tổn thương phổi và hạn chế tối đa khả năng diễn tiến sang ARDS. Đặc biệt ở người mắc bệnh tự miễn hoặc người ghép thận đang dùng thuốc chống thải ghép, tiêm phòng vắc xin cúm hằng năm là biện pháp bảo vệ gần như bắt buộc, an toàn và không ảnh hưởng đến chức năng thận ghép. Việc tiêm trước mùa cúm 4–6 tuần giúp cơ thể có đủ thời gian tạo miễn dịch, qua đó hạn chế tối đa các ca diễn biến nặng như trường hợp trên.